All posts tagged "Featured"

उत्तराखंड
त्यूनी में पहली बार भव्य बहुउद्देशीय शिविर का हुआ आयोजन, ऐतिहासिक शिविर का जनता ने जताया आभार
March 20, 2025सरकार जनता के द्वार कार्यक्रम के अंतर्गत जन समस्याओं का सगुमता से निराकरण हेतु जिलाधिकारी सविन...

उत्तराखंड
सरकार जनता के द्वार’ कार्यक्रम में पहुंची प्रशासनिक टीम, ग्रामीणों की 17 शिकायतें दर्ज
March 20, 2025रुद्रप्रयाग: जिलाधिकारी सौरभ गहरवार के निर्देश पर मंगलवार को जनपद के ब्रह्मवाड़ी गांव में ‘सरकार जनता...

उत्तराखंड
सचिवालय में कृषि, उद्यान और सहकारिता विभाग की बैठक के दौरान मुख्यमंत्री ने दिये निर्देश
March 20, 2025राज्य में कृषकों की आय बढ़ाने के लिए ज्ञान-विज्ञान के साथ परंपरागत खेती को बढ़ावा दिया...

उत्तराखंड
बजुर्ग फरियादियों को गंतव्य स्थल तक पंहुचा रहा है जिला प्रशासन का ‘सारथी’
February 18, 2025देहरादून: जिलाधिकारी सविन बसंल ने अपनी शिकायतों केे निस्तारण हेतु जिला कार्यालय में आने वाले आगन्तुकों...

उत्तराखंड
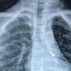
07 वर्ष के बच्चे के फेफड़े में फंसे पेंच को निकालकर एम्स के चिकित्सकों ने दिया जीवनदान
February 18, 2025ऋषिकेश: अखिल भारतीय आयुर्विज्ञान संस्थान, ऋषिकेश के पल्मोनरी मेडिसिन विभाग की ओर से संचालित ब्रोंकोस्कोपी प्रयोगशाला...

उत्तराखंड
मुख्य सचिव की अध्यक्षता में स्टेट काॅओपरेटिव डेवलपमेंट कमेटी की बैठक…
February 18, 2025देहरादून: सीएस श्रीमती राधा रतूड़ी ने राज्य के स्थानीय अनाज मंडुआ की भांति झंगौरा के लिए...

उत्तराखंड
उत्तराखंड में 11-12 को बारिश और बर्फबारी के आसार, मैदानों में भी बढ़ेगी ठंड…
January 10, 2025उत्तराखंड में शुक्रवार को मौसम शुष्क रहने का अनुमान है। हालांकि, आसमान में बादलों की आवाजाही...

उत्तराखंड
डीएम ने किया सिंचाई विभाग द्वारा किए जा रहे कार्यों का निरीक्षण…
January 10, 2025नैनीताल : जिलाधिकारी ने शुक्रवार को ठंडी सड़क पर सिंचाई विभाग द्वारा किए जा रहे सुरक्षात्मक...

उत्तराखंड
मुख्य सचिव ने नाबार्ड को प्रस्तावों की स्वीकृति में तेजी लाने के दिए निर्देश…
January 10, 2025नाबार्ड के तहत स्वीकृत प्रस्तावों के सापेक्ष विभागों द्वारा लक्ष्य से कम ऋण वितरण पर सख्त...

देहरादून
ब्रेकिंग: उत्तराखंड में इस दिन होंगे निकाय चुनाव, अधिसूचना जारी…
December 23, 2024उत्तराखंड निकाय चुनाव की राज्य चुनाव आयोग ने तारीखों की घोषणा कर दी है। राज्य में...












